Comprendre l'Objectif Corrigé à l'Infini, le Pouvoir de Résolution et le Grossissement
Terminologie Clé | Imagerie à Faible Grossissement | Imagerie à Fort Grossissement

Dans le secteur de l'optique, les microscopes sont utilisés aussi bien pour la vision industrielle que pour les applications de biologie et des sciences de la vie. Les applications en vision industrielle favorisent les marchés des semi-conducteurs, de l'électronique, de l'assemblage, et de la fabrication, pour n'en nommer que quelques-uns. Les sciences de la vie s'intéressent aux échantillons cellulaires ou biologiques en utilisant différents grossissements d'objectif. Pour comprendre l'interaction entre le pouvoir de résolution, le grossissement et d'autres spécifications courantes des objectifs, examinez comment un objectif corrigé à l'infini reproduit la culture de la peau à des grossissements de 5X, 10X, 20X et 50X.
Les quatre exemples d'application décrits aux sections suivantes utilisent les objectifs corrigés à l'infini d'Edmund Optics. Les objectifs Mitutoyo peuvent aussi les remplacer. Bien que les objectifs Mitutoyo soient synonymes de vision industrielle et d'inspection industrielle, ils fonctionnent extrêmement bien dans des conditions de faible éclairage et dans des applications qui se concentrent sur l'inspection cellulaire et micro.
TERMINOLOGIE CLÉ DE L'OBJECTIF
L'image donnée par les objectifs corrigés à l'infini est bonne, quel que soit le grossissement. Ils sont parfaits pour les applications nécessitant une grande précision et permettent l'ajout modulable de filtres optiques, polariseurs, séparateurs et composants d'illumination in-line dans le chemin optique. L'utilisation d'objectifs corrigés à l'infini offre cependant les avantages suivants:
- Des grossissements plus élevés apportent des ouvertures numériques plus importantes, mais des distances de travail plus courtes et des champs de vision plus petits.
- Des grossissements moins élevés apportent des ouvertures numériques moins importantes, mais des distances de travail plus longues et des champs de vision plus grands.
- La résolution est dictée par le grossissement, et tous deux augmentent proportionnellement l'un par rapport à l'autre.
Le grossissement, l'ouverture numérique, la distance de travail, et la résolution se rapportent tous à des objectifs corrigés à l'infini. Le grossissement est calculé en divisant la distance focale de la lentille tube, par la distance focale de l'objectif. L'ouverture numérique (NA) est une fonction de la distance focale du diamètre de la pupille d'entrée et affecte la quantité de lumière entrant dans le système corrigé à l'infini. La distance de travail (WD) est déterminée par la distance parafocale du chemin optique de l'objectif et est spécifiée comme étant la distance entre l'élément optique frontal et l'objet en cours d'inspection. Le pouvoir de résolution est l'une des caractéristiques les plus compliquées à expliquer correctement. Comme il est difficile de visualiser ce à quoi un objet réel en cours d'inspection ressemblera, à un certain grossissement, et la façon de quantifier le pouvoir de résolution, il est préférable de s'imprégner des exemples d'application dans les sections suivantes. Pour plus d'informations sur la terminologie clé de l'objectif, lire Comprendre les Microscopes et les Objectifs.
EXEMPLES D'APPLICATION
Il existe un grand nombre d'applications pour les systèmes d'objectifs corrigés à l'infini. En termes d'applications biologiques, la plus courante est la microscopie à fluorescence, allant des systèmes de détection des fluorophore les plus élémentaires aux systèmes de fluorescence confocaux et multiphotoniques les plus élaborés. Le plus complexe de ces systèmes comporte de forts grossissements, une mécanique très précision, des filtres optiques de haute qualité et de puissantes sources d'éclairage, telles que des lasers. En revanche, les systèmes les plus simples impliquent une source lumineuse à large bande standard, un filtrage de base, une mécanique simple, et des grossissements faibles ou élevés, selon les échantillons en cours d'inspection.
Imagerie à Faible Grossissement de la Culture de la Peau
Selon le type d'échantillon, il existe quelques règles empiriques permettant de sélectionner un objectif corrigé à l'infini. Vu qu'une cellule type mesure 10μm, un objectif à faible grossissement et à faible résolution sera bien adapté à l'imagerie d'un groupement de cellules. Si vous avez besoin de différencier des membranes cellulaires ou des composants intracellulaires tels que des mitochondries, des ribosomes, ou un noyau, alors une résolution de l'ordre de 1μm ou moins sera la mieux adaptée.
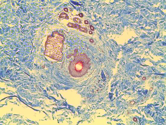
Aux Figures 1 à 4, les échantillons en cours d'inspection sont des modèles de culture de la peau en 3D avec une coloration trichrome, qui a été cultivée et préparée par Zen-Bio Incorporated, située à Research Triangle Park en Caroline du Nord aux États-Unis. A la Figure 1, les composants cellulaires entourés par la matrice extracellulaire (ECM), qui unifie le tissu, sont clairement visibles. La matrice interstitielle et la membrane basale se trouvent dans l'ECM, où résident et agissent les polysaccharides et les protéines fibreuses, comme un tampon de compression contre la tension externe. La membrane basale possède un certain nombre de feuilles qui sont empilées les unes sur les autres et intercalées avec des cellules épithéliales. Pour voir clairement le gel de polysaccharide et les cellules épithéliales, il est préférable d'utiliser un objectif à fort grossissement corrigé à l'infini. La matrice tissulaire est le matériau de couleur bleue situé autour, les cellules et la membrane cellulaire sont marquées par des taches violettes, et à l'intérieur de chaque cellule se trouve une plus petite zone blanche et partiellement rouge qui marque un matériau intracellulaire plus dense, comme les mitochondries et le noyau.
La Figure 1 a été prise avec un Objectif M Plan Apo 5X #59-876. Cet objectif corrigé à l'infini comporte une ouverture numérique de 0,14, un champ de vision sur un capteur ½" de 1,28 mm x 0,96 mm, et un pouvoir de résolution de 2 μm. Étant donné que les cellules humaines types mesurent à peu près 10 microns, les caractéristiques de l'objectif #59-876 en font le choix idéal.
Figure 1: Coloration Trichrome d'Échantillons de Tissus Dermiques au Grossissement 5X Utilisant l'Objectif #59-876
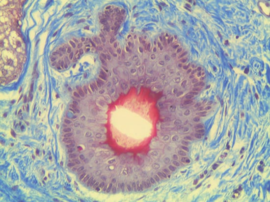
La Figure 2 a été prise avec un Objectif M Plan Apo 10X #59-877. Il comporte une ouverture numérique de 0,28, un champ de vision sur un capteur ½" de 0,64 mm x 0,48mm, et un pouvoir de résolution de 1 μm. Dans cette image, l'empilement et le tissage de l'ECM ainsi que les structures interstitielles, sont clairement visibles. Par ailleurs, la membrane cellulaire est très prononcée et un certain nombre de structures intracellulaires telles que des ribosomes, des mitochondries, et un gros noyau en position centrale peuvent être observés.
Figure 2: Coloration Trichrome d'Échantillons de Tissus Dermiques au Grossissement 10X Utilisant l'Objectif #59-877
Imagerie à Fort Grossissement de la Culture de la Peau
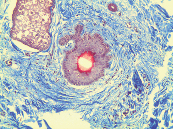
La Figure 3 a été prise avec un Objectif M Plan Apo 20X #59-878. Cet objectif corrigé à l'infini comporte une ouverture numérique de 0,42, un champ de vision sur un capteur ½" de 0,32 mm x 0,24 mm, et un pouvoir de résolution de 0,7 μm. La Figure 3 montre la cellule entière dans le champ de vision donné. La matrice extracellulaire environnante est sectionnée plus en détail, et les molécules intracellulaires sont beaucoup plus grandes et plus visibles que dans les deux Figures 1 ou 2.
Figure 3: Coloration Trichrome d'Échantillons de Tissus Dermiques au Grossissement 20X Utilisant l'Objectif #59-878
La Figure 4 montre un grossissement de 50X - le plus fort grossissement réalisé aisément sans étapes mécaniques ou en utilisant des actionneurs piézo pour stabiliser l'objectif corrigé à l'infini et le plan image. A ce niveau de grossissement, de légères vibrations causées par l'éclairage ou le ventilateur d'un ordinateur, peuvent de façon spectaculaire faire bouger le flux lumineux et le faire sortir du champ. La Figure 4 a été prise avec un Objectif M Plan Apo 50X #59-879. Il comporte une ouverture numérique de 0,55, un champ de vision sur un capteur ½" de 0,128 mm x 0,096 mm, et un pouvoir de résolution de 0,5 μm. La profondeur de champ de cet objectif particulier n'est que de 0,9 μm, ce qui rend le processus de focalisation fastidieux si la mécanique appropriée n'est pas utilisée. Dans la Figure 4, la membrane cellulaire et les composants intracellulaires sont très lumineux comparés aux images précédentes données par les grossissements 5X, 10X et 20X. Par ailleurs, la taille et la forme des constituants cellulaires deviennent plus apparents. Lorsque l'on compare la Figure 1 (grossissement 5X) à la Figure 4 (grossissement 50X), l'augmentation du grossissement est bien évident, le pouvoir de résolution a été augmenté par quatre et le champ de vision a été réduit par vingt. Dans une appliation d'imagerie à grossissement 50X, une intensité lumineuse et un contraste élevés sont nécessaires pour augmenter l'illumination et corriger numériquement la vitesse d'obturation et le gain. Les paramètres numériques peuvent être définis de manière à compenser automatiquement le degré d'obscurité ou la vitesse de défilement, ce qui est excellent pour la mise en place d'un microscope vidéo numérique. Pour plus de détails sur la construction d'un tel microscope avec des composants prêts à l'emploi, veuillez lire le document sur les Configurations de l'Objectif à Microscope Vidéo Numérique.
Figure 4: Coloration Trichrome d'Échantillons de Tissus Dermiques au Grossissement 50X Utilisant l'Objectif #59-879
Les objectifs corrigés à l'infini sont parfaits pour l'inspection de vision industrielle et les applications des sciences de la vie. Lors de l'imagerie d'échantillons biologiques tels que des tissus dermiques, il est important de comprendre ce qui peut être réalisé avec des grossissements différents d'objectifs. Les objectifs 5x et 10x sont parfaits pour voir des groupes de cellules et des structures légères dans la matrice extracellulaire alors que les objectifs 20X et 50X apportent une meilleure résolution et sont capables de voir les molécules intracellulaires.
ou consulter les numéros d’autres pays
facile à utiliser
entrer les numéros de stock pour commencer
Copyright 2023 | Edmund Optics, Ltd Unit 1, Opus Avenue, Nether Poppleton, York, YO26 6BL, UK
POLITIQUE DE CONFIDENTIALITÉ | POLITIQUE DE COOKIES | CONDITIONS GÉNÈRALES | CONDITIONS GÉNÈRALES B2C | MENTIONS LÉGALES | ACCESSIBILITÉ
L'entreprise Edmund Optics GmbH en Allemagne agit comme un mandataire d'Edmund Optics BV aux Pays-Bas.
Le titulaire du contrat est Edmund Optics BV aux Pays-Bas.
Ce contenu peut comporter des éléments générés ou modifiés à l'aide de l'intelligence artificielle (IA).
The FUTURE Depends On Optics®